- >
- >
- >
Лікування внутрішньопротокової папіломи в Харкові
Внутрішньопротокова (інтрадуктальна) папілома – доброякісне новоутворення, яке розвивається в молочних протоках, зазвичай поблизу ареоли (області навколо соска). Пройти діагностику та лікування внутрішньопротокових папілом у Харкові можна у відділенні мамології «Європейського Радіологічного Центру».
Причини внутрішньопротокової папіломи
Внутрішньопротокова папілома є доброякісним новоутворенням молочних проток, яке може виникнути через підвищений рівень естрогену в період вагітності. Інши причини внутрішньопротокової папіломи можуть включати:
- вік понад 35 років;
- спадкову схильність;
- хронічні захворювання молочної залози (мастит, фіброаденому);
- вживання гормональних препаратів.
Також папілома може виникати через часті запальні процеси молочних залоз, такі як мастит, який може спричинити зміни в тканинах і сприяти формуванню новоутворень. Іншою причиною може бути порушення обміну речовин, зокрема ожиріння, що також може підвищити рівень естрогенів у організмі.
Симптоми внутрішньопротокової папіломи
Папіломи можуть розвиватися в одній або обох молочних залозах. Зазвичай папіломи є одиничними розростаннями від одного до двох сантиметрів. Симптоми внутрішньопротокової папіломи молочної залози:
- збільшення молочної залози;
- припухлість шкіри в ділянці ареоли;
- підвищена чутливість молочної залози;
- невелика еластична грудка округлої форми поруч із соском;
- болючість та дискомфорт у молочній залозі.
Інтрадуктальна папілома молочної залози може спричинити кров'янисті або водянисті виділення з сосків. Оскільки папілома має схожі симптоми з кістою, ліпомою та фіброаденомою, при виявленні ущільнень та болю в молочній залозі або виділень із сосків необхідно проконсультуватися з мамологом.

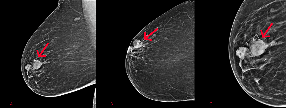
Діагностика папілом молочної залози у Харкові
Перед початком лікування папілом молочної залози мамолог аналізує скарги пацієнтки та збирає анамнез. Діагностика внутрішньопротокових папілом включає:
- огляд тканин, ареол та сосків. Проводиться для оцінки стану молочної залози (наприклад, почервоніння шкіри, набряклість, виділення, зміна форми та розміру);
- пальпація тканин молочної залози та лімфатичних вузлів. Дає змогу визначити форму, локалізацію та попередньо встановити тип ущільнення, локалізацію болю;
- УЗД молочних залоз. Призначається для оцінки структури тканин, встановлення наявності, розміру, виду та кількості патологічних утворень у молочній залозі, огляду регіонарних пахвових лімфатичних вузлів.
За потреби уточнення діагнозу мамолог також може направити на МРТ молочних залоз. Для визначення природи пухлини призначається біопсія під контролем УЗД. Залежно від передбачуваного типу утворення виконуються різні види біопсії (трепан-біопсія або тонкоголкова аспіраційна біопсія).

Лікування папілом молочної залози у Харкові
При папіломі молочної залози показане хірургічне лікування. Під час операції видаляється внутрішньопротокова папілома і протока, в якій вона розташована. Необхідність оперативного лікування пов'язана з можливістю з часом переродження внутрішньопротокової папіломи в рак.
Внутрішньопротокова папілома при вагітності видаляється в разі великого розміру наросту, високого ризику переродження новоутворення з доброякісного в злоякісне, болю. Видалення папіломи зазвичай призначається після пологів.
Записатися на консультацію до мамолога та лікування внутрішньопротокової папіломи у Харкові в «Європейському Радіологічному Центрі» можна за телефоном, зазначеним на сайті.
Фіброаденома: що це і як її лікувати?
Мастит: симптоми, причини та лікування
ГВ (грудне вигодовування): як воно впливає на здоров'я малюка і як правильно годувати грудьми?
Check Up програми
Медичні декларації
НСЗУ